Home Our Story About Us Dr. Henry Fung Dr. Tony Voong Services Gallery Visit Us Insurance & Payment New Patients Journal FAQ Contact
(347) 460-5603 [email protected]
Results

Before & After

Real results from real patients at FORME Dental

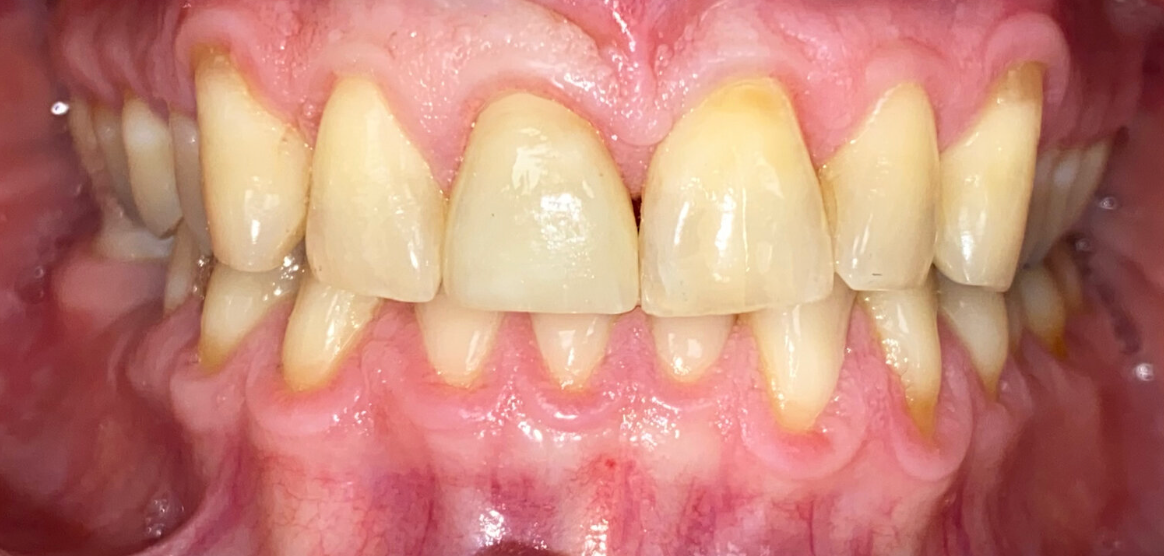
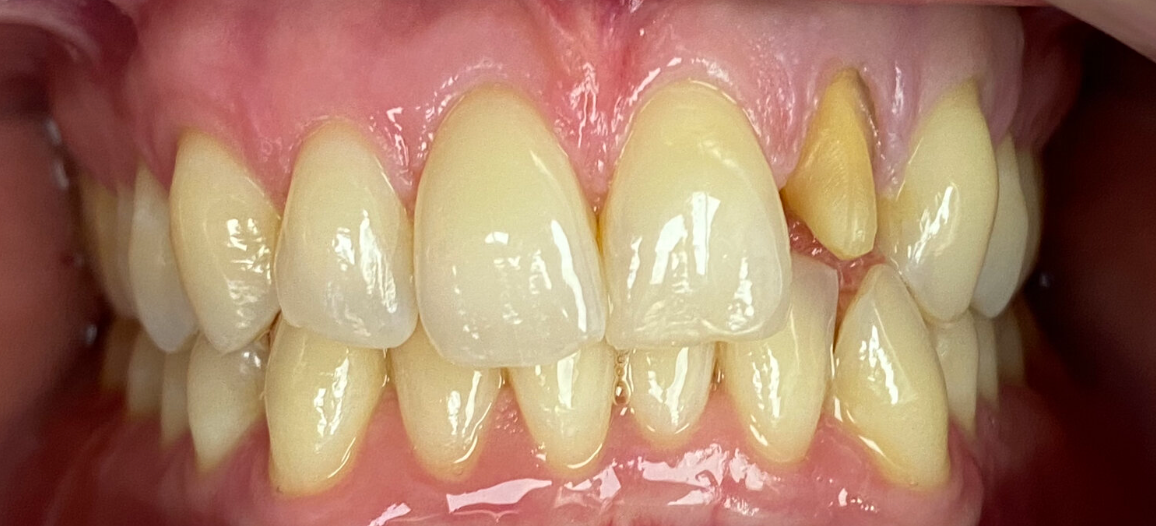
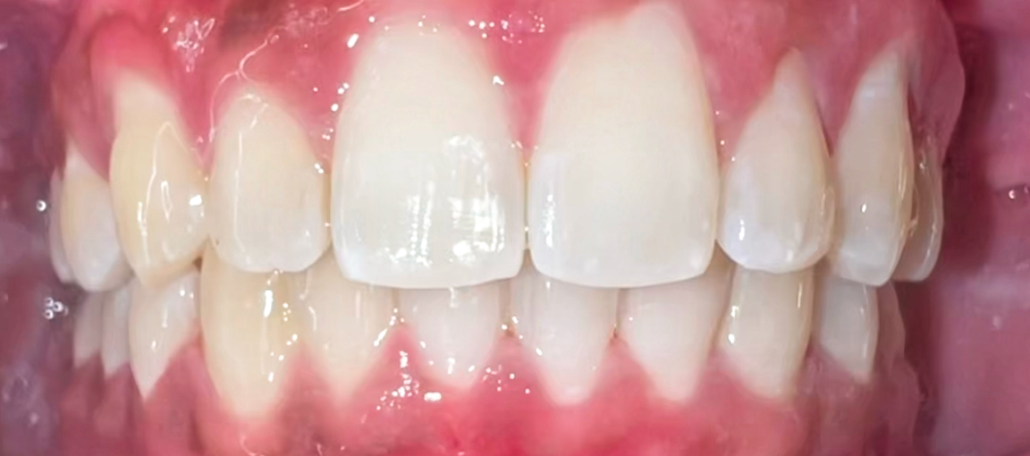
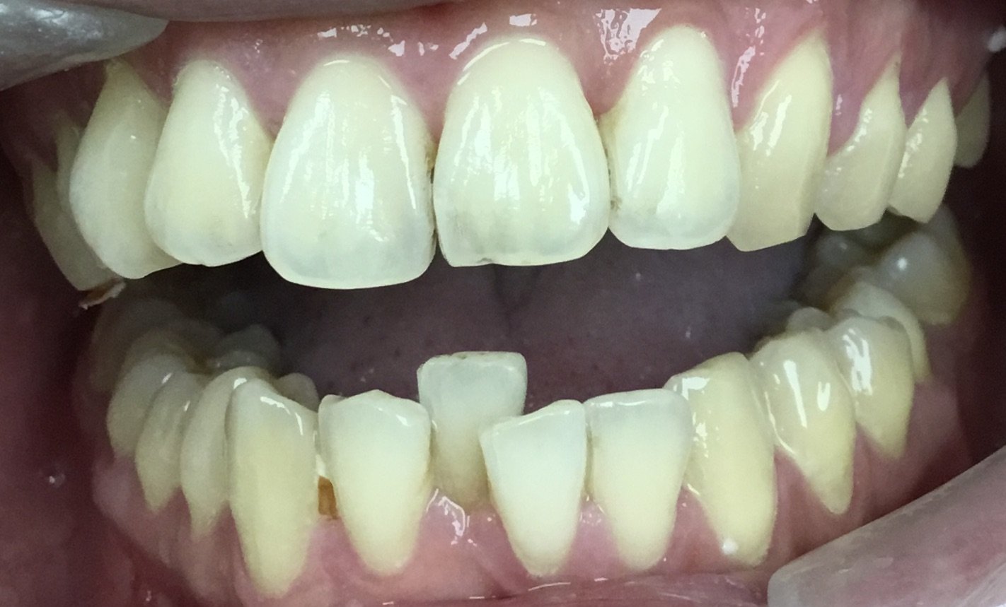
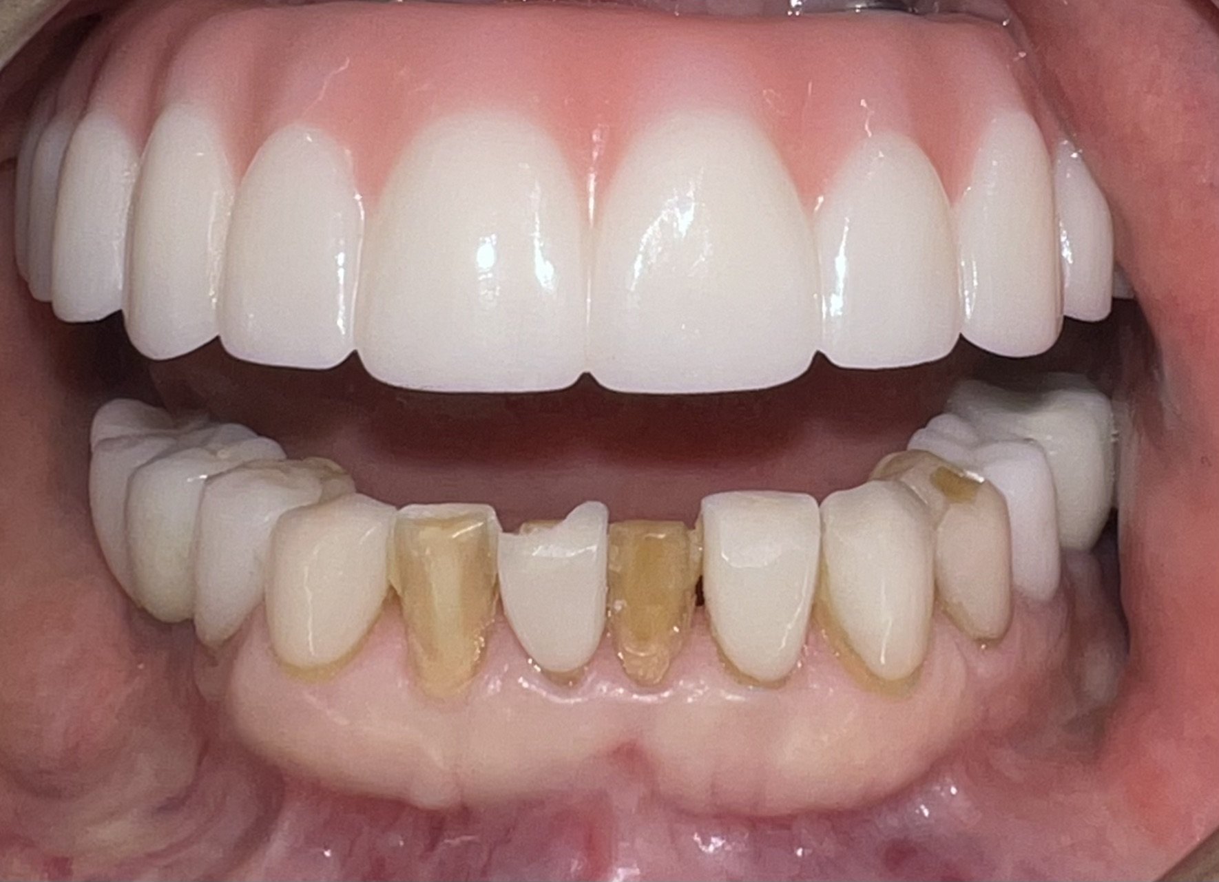
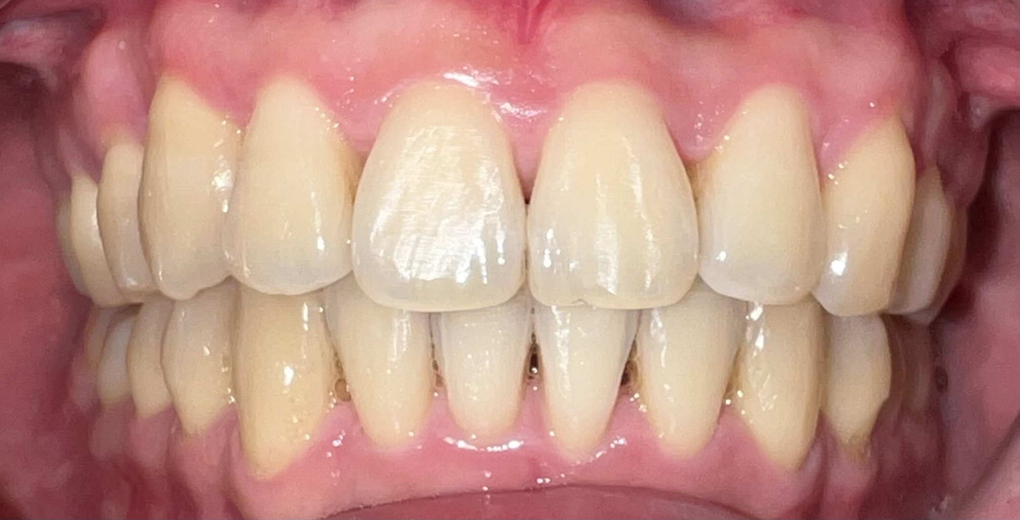
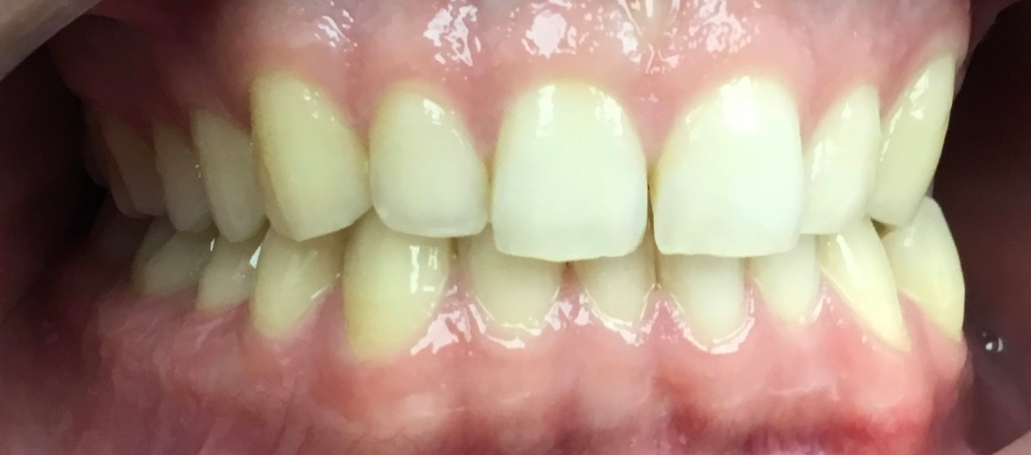
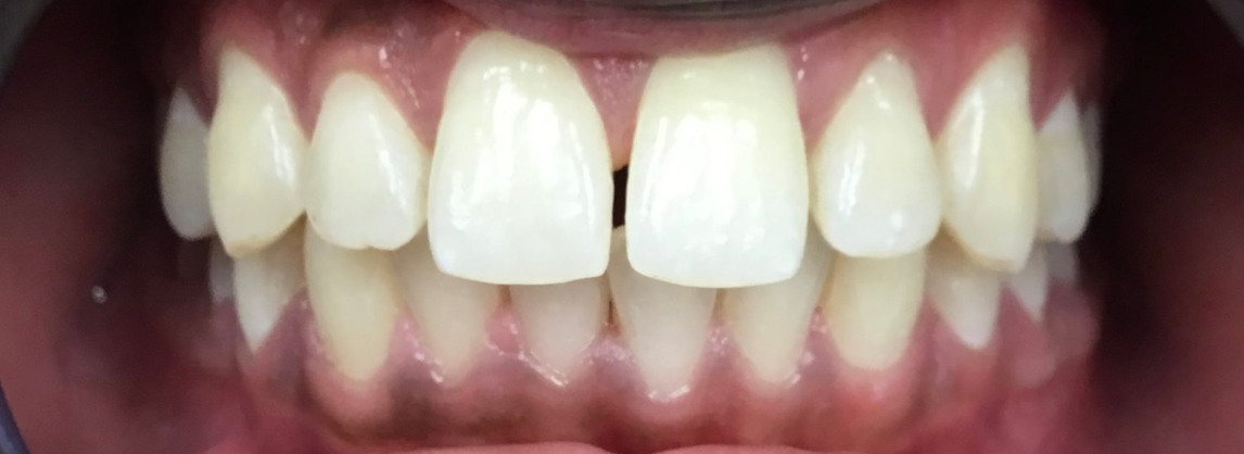
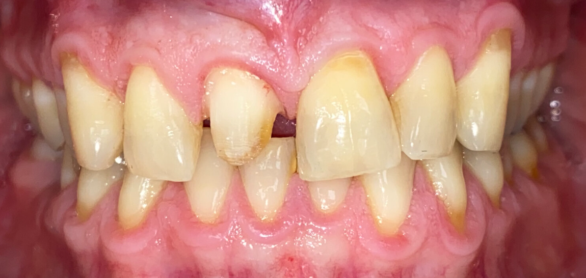
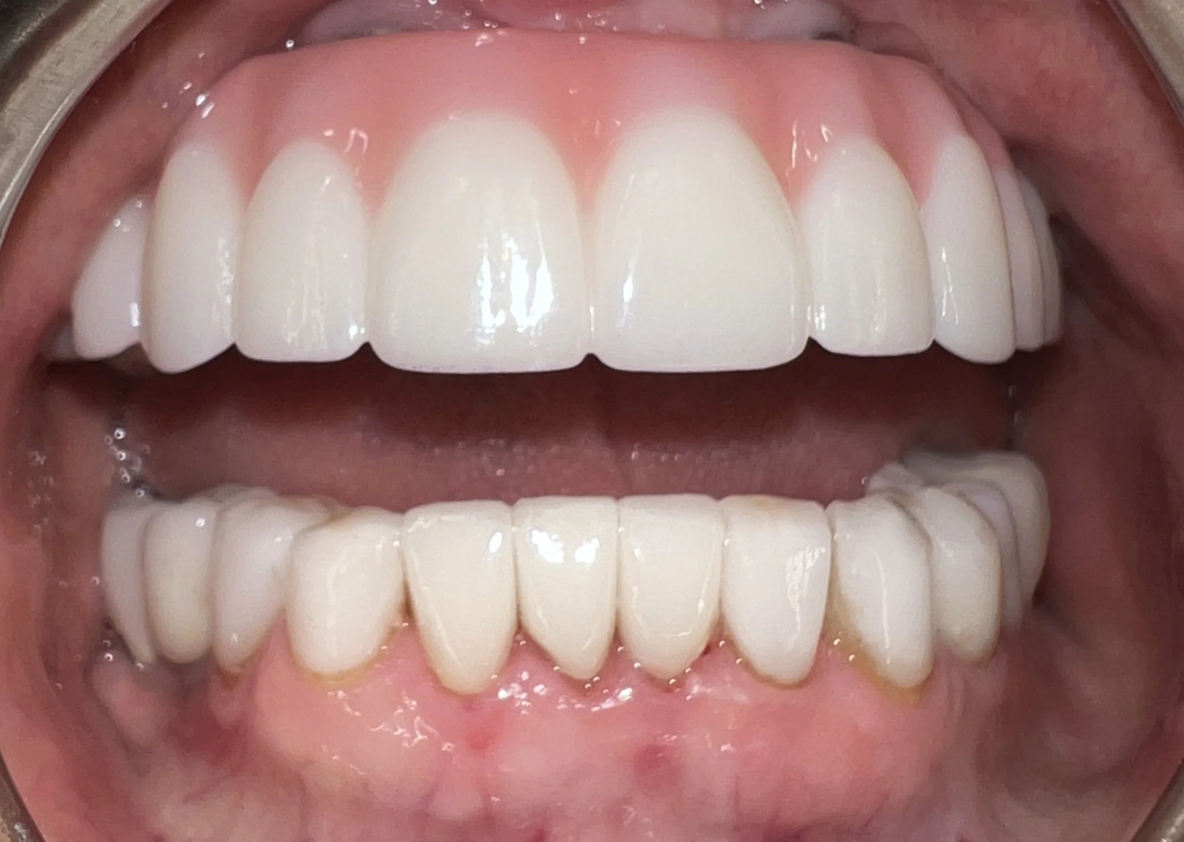
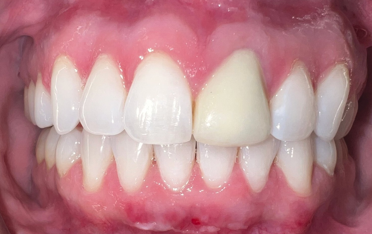
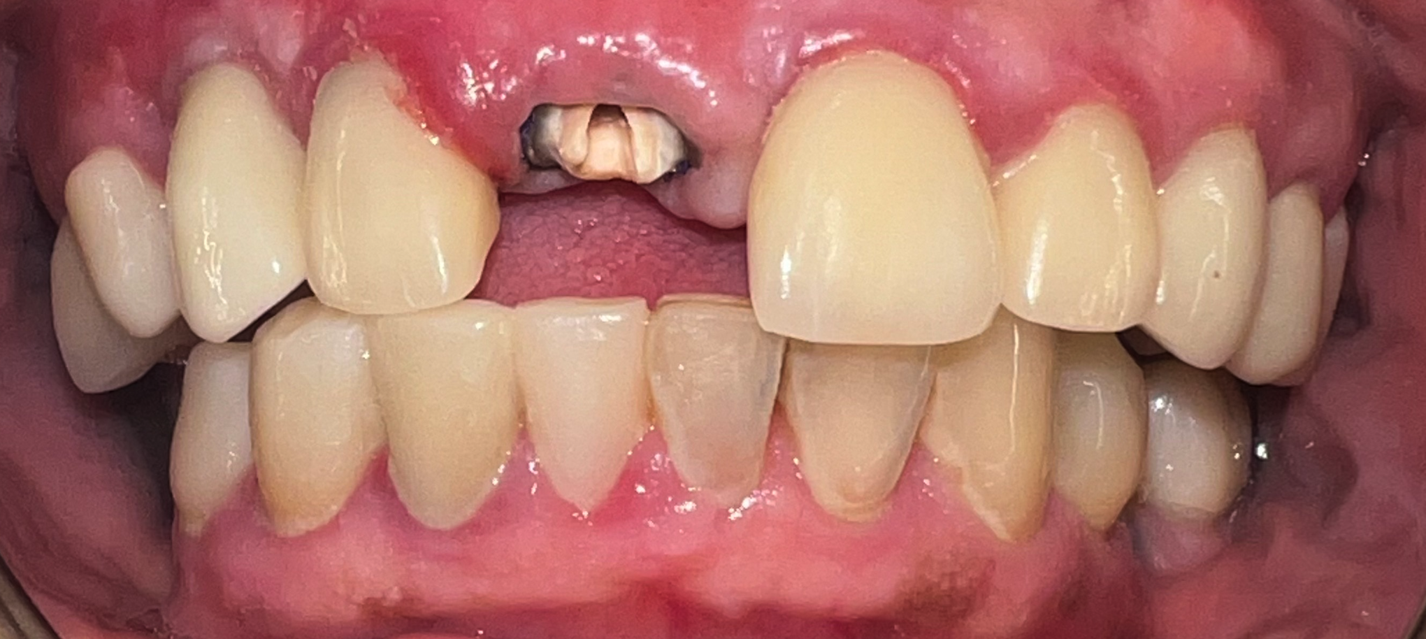
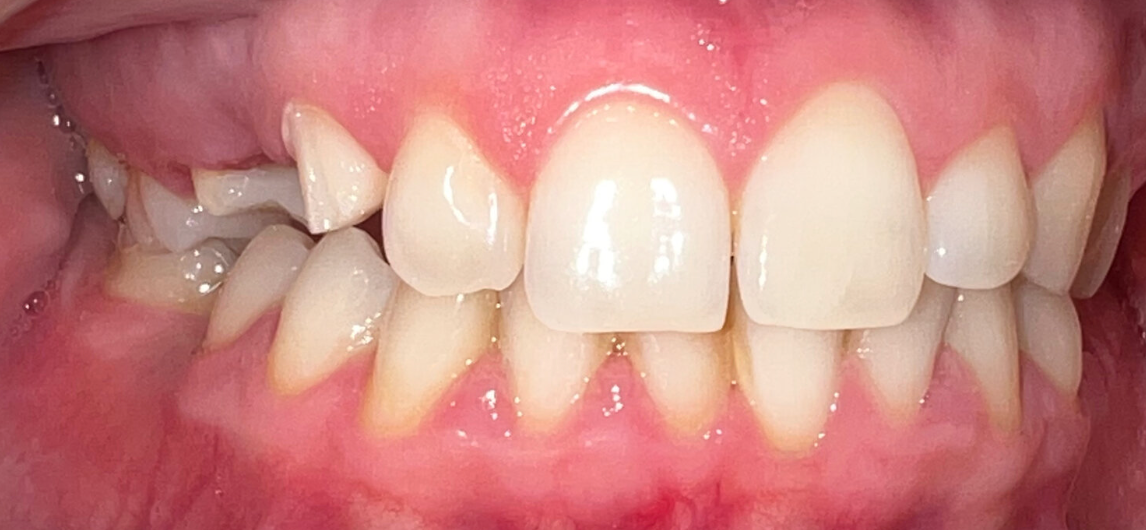
Each case below was treated personally by Dr. Henry Fung or Dr. Tony Voong at our single-chair concierge practice at 575 Madison Avenue in Midtown Manhattan. The galleries are organized by treatment category — orthodontics and Invisalign, smile restoration with porcelain veneers, full-mouth rehabilitation, dental implants, composite bonding, and cosmetic whitening. Every result reflects the same approach: unhurried appointments, precise digital planning, and a focus on natural, balanced outcomes that age well over time.

Ready to Begin

Accepting New Patients

Book online in minutes or call us at (347) 460-5603.

Book a consultation →